Pandemic! 10 of the Deadliest Diseases

The Black Plague, Third Pandemic and Spanish Flu wiped out hundreds of millions; they have nothing on today's worst diseases
DearTerisa (CC Licensed)

What makes a disease deadly in the twenty-first century? Medicine has never been more advanced; our understanding of spread and infection, never more sophisticated. And yet, we may be poised for the largest and most devastating pandemic the human race has ever encountered.

Diseases that could have been effectively eradicated decades ago continue to ravage developing nations. In the wake of natural and manmade disasters, cholera, tuberculosis and the like spread even more easily, aided by tenuous medical infrastructures and close living quarters for refugees. Meanwhile, wealthy nations are no less imperiled, their citizens endangered by a massively consolidated food supply and by antibiotics prescribed so indiscriminately as to potentially destroy their efficacy altogether.

But, if medical advancements may be our undoing, they also pose our only salvation. Launch the gallery here to see 10 of the world’s deadliest diseases—the contagious monsters that threaten our very way of life—and to learn how science is holding them at bay.

Salmonella
NIH
Yellow Fever Virus
CDC
Shanghai SARS Alert
DearTerisa (CC Licensed)
Liver Infected With Ebola
CDC
Methicillin-Resistant Staphylococcus Aureus
CDC
Dengue Fever
CDC
Enterovirus 71
MidgleyDJ (GNU Licensed)
Influenza A (Avian Flu)
Cynthia Goldsmith
Vibrio Cholerae
CDC
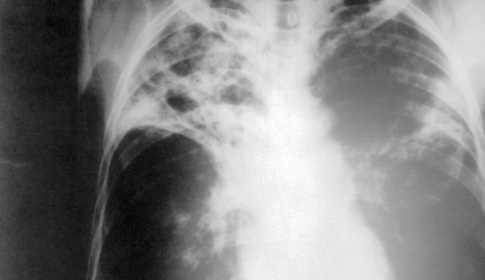
Extensively Drug Resistant Tuberculosis
CDC
 
products on a page that says best of what's new 2025

2025 PopSci Best of What’s New