5 Ways Hackers Could Kill You Right Now

You will never want to fly again.
Wikimedia Commons

_

Click to launch the gallery._

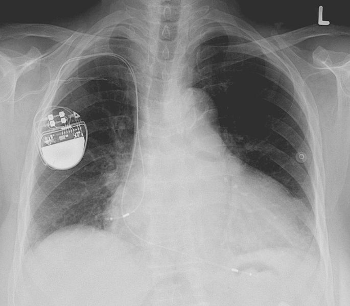
The internet is abuzz with news that it is now possible to hijack an airplane with an Android. This arrives hot on the heels of an announcement that the Department of Defense is classifying some cyber capabilities as weapons. I’m pretty skeptical of all the fearmongering over cyberterrorism; as security threats go, cyber is one of the least deadly. But, thought experiment: If hackers really did want to spend their time, energy, and knowledge carrying out a deadly attack, how would they do it? Here are five possible, but highly improbable, scenarios. (Paging, Hollywood!)

wikimedia commons
Taro Taylor, via wikimedia commons
Jen, via wikimedia commons
Ervín Pospíšil, via wikimedia commons
Halftermeyer, via wikimedia commons
 
products on a page that says best of what's new 2025

2025 PopSci Best of What’s New

 
Kelsey D. Atherton Avatar

Kelsey D. Atherton

Contributor, Tech

Kelsey D. Atherton is a military technology journalist who has contributed to Popular Science since 2013. He covers uncrewed robotics and other drones, communications systems, the nuclear enterprise, and the technologies that go into planning, waging, and mitigating war.