What is the Future of Diagnostic Medicine?

The author subjects himself to genetic tests, scans and other high-tech diagnostics to report on how the trend toward "personalized medicine" will affect us

What’s left of the General Tso’s chicken is on the coffee table. The sauce that eluded my mouth is congealing on my T-shirt. American Idol just started. And Megan, my fiance of three days, is getting ready to swab the inside of my mouth with Q-Tips that are nearly as long as chopsticks. “OK, open that mouth,” she says. “Wider.” She is a doctor. I do as I’m told. “You know, these look like little Pap-smear brushes,” she muses. My mouth snaps closed. “C’mon, open up,” she says. I stall. “I love you,” I say. “Kiss me.” “Let me concentrate,” she says. “What if I don’t do this right?” “Then,” I reply, “I guess I’ll never know if I’m gonna die.” Megan, at my behest, is after my DNA, because I am after the future of my body. This was my assignment: to take every medical test I could get my hands on to predict what will happen to my body 5, 10, 15 years from now. I set out to find the most advanced diagnostics available, early examples of technologies that would get me as close as possible to the future of medicine, when doctors will use genetic and imaging tests to predict what diseases a person is prone to developing. When illness does strike, treatments will be tailored to each patient. The researchers, doctors and drug companies working on this new gene-based paradigm are calling it personalized medicine. Their buzzphrase: “The right treatment for the right person at the right time.”

In many ways, my editor handed me my dream job. I have nursed a rather robust interest in my robust body for some time, starting when I asked my parents, at the age of 12, to take me to the doctor because I felt a lump under my left nipple. They indulged me-and they did so again a few years later when, during a tour of colleges, I was so certain that I was dying from a urinary tract infection that I made them rush me to a hospital in Columbia, Missouri. The diagnoses: normal nipple, normal urine. Before I met Megan, I had no idea doctors called people like me “the worried well.” This was good news; I had assumed I was just a hypochondriac.

Sitting here on our couch, though, my fiance and I have to acknowledge the peculiar irony that something could, in fact, be wrong with me, that I might be harboring genes that will send me into the ground sooner than planned. That this might be bigger than my nipple.

“If it turns out that you’re going to get some crazy disease, you can sell the engagement ring and use the money for your treatment,” Megan tells me, only half joking. She tilts my head so she can grind the swabs deeper into my cheeks.

Sounding like people do when they have a dentist’s fingers in their mouths, I ask, “Are you doing this right?”

“I am not an idiot,” Megan says, sounding just like herself.
I slip each swab into a padded envelope with extra-sticky sealing, so as not to leak bodily fluid on the FedEx man. In a couple weeks I hope to have a good idea of what will kill me, and when. I smile at Megan. And she says, “I should have waited for the results before I agreed to marry you.”

It’s 2015, and I want you to meet someone. Her name is Betty. She is 25 and healthy, although an uncle has had some heart problems. Her doctor suggests that she have her genome sequenced. Betty worries that if the results are bad, her insurance company will drop her, but Congress has finally outlawed such discrimination. The test results aren’t good: They show three gene variants known to increase risk of heart attack fivefold. Betty and her doctor immediately begin a prevention program based on diet and exercise, of course, but also medication selected to work specifically with her genetics.

Fifty years pass. Betty notices no heart trouble, but one day her arm starts to hurt. Too much gardening, she figures, but her doctor knows better with a glance at the genetic results in her file. He diagnoses a mild heart attack and puts together a customized treatment. Betty lives into the 22nd century.

Today, though-in 2005-Betty is just a dream. She is the poster girl for personalized medicine, a creation of Francis Collins, the National Institutes of Health researcher who helped map the human genome. Collins, along with Craig Venter and his company, Celera, identified the 25,000 genes that serve as the construction manual for the human body. Although geneticists had already been able to home in on diseases caused by a single mutated gene-disorders such as cystic fibrosis, sickle-cell anemia, Huntington’s disease and Tay-Sachs-laying out the entire sequence of our DNA allowed them to begin exploring diseases with more complex roots.

Mapping the human genome gave scientists a view of the entire canvas of our genes, including the small aberrations called single-nucleotide polymorphisms, or SNPs (“snips”), that occur in everyone’s DNA. Some of these deviations are harmless, but others, when they interact, create instructions that produce some of our most serious disorders: cancer, heart disease, diabetes, Parkinson’s, schizophrenia, and on and on.

Now there are dozens of companies painstakingly comparing DNA samples from people who are sick with those from people who aren’t, looking for SNPs associated with those disorders. If they pinpoint aberrations exclusive to the disease sample, they can create reagents-and thus tests-that identify the SNPs from blood or DNA swabs.

Celera’s scientists, for example, have discovered SNPs in the past two years that indicate at least twice the normal risk of heart attack-putting people who carry the aberrations at the same risk as diabetics, smokers and those with high cholesterol. Such is the cruel science behind seemingly healthy people dropping dead of a heart attack at age 47. The promise of personalized medicine is to be able to find those people who would otherwise have no reason to worry, monitor them closely, and get them started on a preventive regimen.

I would love to take Celera’s test, but it won’t be ready for at least a year. And although there are about 800 genetic tests available right now, most of them screen for diseases that rarely show up in humans. The 13 tests I took-from DNA Direct, Genelex and Kimball Genetics-are for common conditions that turn up in every walk of life, and they’re all for single-gene mutations. Celera and other companies are focusing on the multiple-gene problems, but that will take years, so researchers are also looking at the grunts that do your individual genome’s dirty work. I am speaking now of proteins.

Built with instructions from genes, proteins go on to build your entire body. When the instructions are bad, the proteins do bad things-disrupting normal biological functions and causing disease. The emerging field of proteomics is about identifying these proteins, and it’s an important secondary tactic in the push for personalized medicine, because any given gene may or may not become active, but the presence of a certain protein can tell you unequivocally whether you’ll get a certain disease. Already many doctors test for high levels of C-reactive protein, a biomarker for inflammation that plays an early role in heart disease.

Other proponents of personalized medicine, including Geoffrey S. Ginsburg, director of Duke University’s Center for Genomic Medicine, say that getting the science right is just one hurdle to making gene-based predictive tests part of the standard physical. Federal health agencies exercise little to no oversight of testing protocol or accuracy, or even of how a patient’s DNA should be safeguarded. None of the companies I bought tests from were suggested to me by a doctor; I did my own research, checking the reputations of their labs and that they’re run by bona fide geneticists. But for all I know, one of the labs with my DNA could be planting it at a murder scene right now. Then there’s the insurance issue: Few companies pay for genetic testing. And while the U.S. Senate has passed laws forbidding discrimination based on a patient’s genetic test results, the House has yet to follow suit. I just hope my insurance company doesn’t read this.

I’m lying on the couch watching TV, thinking about popping an Ambien. I take the little white pill a few nights a week to help me sleep (worried wells are often up at 3 a.m., worrying about one thing or another). Suddenly, though, I’m desperate to stay awake. Charlie Rose is on, and tonight’s guest is surgeon Mehmet Oz, director of the Cardiovascular Institute at Columbia University Medical Center. Rose wants to know about the controversy surrounding full-body CT scans, a procedure central to the aims of personalized medicine-a procedure I’m scheduled to have next week. Hundreds of doctors’ offices now advertise the scans as virtual physicals, offering you peace of mind knowing that your organs have been examined for structural abnormalities. Others warn that the scans also expose people to high levels of radiation. Indeed, one of Oz’s colleagues at Columbia, radiation biologist David Brenner, has shown that having a full-body CT scan in middle age carries a 1 in 1,200 risk that you’ll eventually die from radiation-induced cancer.

Oz is alarmingly nonchalant in his caution. “Well, you’re scanning the whole body. How do you keep protected?” Rose looks flummoxed. I sit up. “But the bigger issue is that you uncover problems that aren’t problems . . . and that starts a cascade of evaluations, which in themselves carry risks. You’ll cause cancers, probably as many as you’re going to find.”

In the week leading up to my scan, I had other mail-in diagnostics to deal with. Aside from using our genes to see what diseases might be in store for us, researchers want to use them to customize treatments. Because drugs act differently in every patient based on his or her genetic makeup, biotech companies are developing tests to identify which drugs will function best in which patients.

Biotech giant Genentech has developed Herceptin, a breast-cancer treatment targeted at the 25 percent of patients who have too many copies of a gene called HER2. Tumor cells that have too many copies of the HER2 gene overproduce a protein that promotes increased cell division and faster growth. Doctors look for the HER2 gene malfunction using two FDA-approved tests, and if they find it, they prescribe Herceptin.

Genelex, a small biotech company in Seattle, and Roche Diagnostics, a global pharmaceutical company, are competing to sell tests that predict whether someone will have a bad or potentially fatal reaction to widely prescribed medicines, such as antidepressants, narcotic pain medications, and beta blockers. About half the U.S. population has gene mutations that either hasten or slow the absorption of these drugs into the body, mutations that can create adverse reactions.

Genelex sent me a test tube in a small white box, which looked like it might contain a watch. I had a phlebotomist at Megan’s medical practice draw my blood, and I sent the tube off in the mail. The lab would use the blood to determine how my body processes hundreds of drugs. I hoped, in the meantime, that I wouldn’t need Prozac or Oxycontin.

Jaunts into the future of medicine can take one to the strangest places. I wind up in the Allegheny Mountains of West Virginia, at the stately Greenbrier Resort, which for decades has managed to maintain pristine ratings from the varied likes of AAA and Andrew Harper’s Hideaway Report despite a design aesthetic built around searingly green carpet. The main building is an 803-room mansion that looks a lot like the White House, which is fitting-for 30 years, until 1995, it hid a secret bunker that Congress could use if the Capital came under attack. Even though the resort exists in a state known for its high poverty rate and its starring role in the movie Deliverance, some of this country’s richest people make it their summer retreat. It has three award-winning golf courses, croquet pitches, a mineral-springs spa, and a skeet-shooting range. On the day I arrive, the morning edition of The Greenbrier Today announces a falconry class: “Learn the history of the sport of kings, and interact with our trained hawks and falcons.”

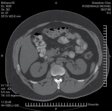
I have no time for fun and games, though. I’ve come for a workup at Greenbrier’s world-renowned health clinic, which caters to executives whose corporations have a vested interest in preventing them from suddenly keeling over. Greenbrier has, for instance, a Philips Brilliance CT 16. It is one of the fastest CT devices in the world, capable of scanning the entire body in 30 seconds as well as snapping images of the heart between beats, a method that can detect the presence of tiny bits of plaque that will eventually cause blockages.

But Greenbrier’s brand of personalized medicine predates CT scans. The clinic’s founding principle, in fact, is to catch problems before symptoms arise, which-in addition to using good technology-requires close attention (read: time) from a doctor. That works in a place where patients can sidestep the limitations of managed care by paying for a $950 full-body scan with a credit card rather than a referral. But it raises questions nobody in personalized medicine has been eager to address: How will people afford medical care under the new paradigm? Will insurers shift payouts from treatments to preventive measures? Or will only the Greenbrier regulars of the world have access to the best that medical science has to offer?

It’s 8 a.m., and my workup starts with an hourlong chat with one of the clinic’s 10 doctors, a gentle Southerner named Jeffrey Graves. He prods me for my medical history before poking at me in a puke-green examination room. This is where anything resembling a typical physical stops. Graves puts me through a battery of tests that will have me bouncing around the clinic for the better (or worse) part of 10 hours. What’s remarkable about this place, I discover, is that it amasses diagnostic equipment from a vast array of medical specialties under one roof. It’s a hypochondriac’s wonderland.

And so I find myself doing things I’ve never done: I sit encased in a sound reduction chamber as a technician checks for early hearing loss (none!); I get an EKG, a test that people don’t typically get unless they have chest pains (my heart rhythms are normal); I blow into the plastic tube of a spirometer that checks my lung capacity, an indicator of asthma and lung disease (my wind bags are mildly restricted); and I lie on a hard table, staring at “Got Milk?” stickers on the ceiling, while a low-beam x-ray arm scans my bone density (far lower than average). Thankfully, I’m only 30: In the 20 years until even the most ardent supporters of personalized medicine would suggest I need a colonoscopy, I’m counting on science to find a better approach. (A Canadian medical-device company is developing a test to identify a sugar in rectal mucus that’s associated with colon cancer.)

I have my blood taken three times, to provide enough for tests on my liver and my heart and my lipids. In addition to breaking down my reading into HDL (“good”) and LDL (“bad”) cholesterol, Graves plans to send a blood sample off to Berkeley HeartLab, which a few years ago became one of the country’s first private labs to offer further analysis. Standard cholesterol tests count just the number of cholesterol particles present; they don’t identify their chemical makeup. But Berkeley examines the LDL for the nastiest, most dense particles, which more easily penetrate the artery wall. The presence of these particles increases heart-disease risk threefold.

Between tests, I sip on a quart of toxic-tasting contrast agent to light up my bowels on a computer screen during my full-body CT scan (which, I found out, will dose me with radiation equivalent to taking 100 mammograms back to back).

I ask Graves about the controversy over CT scans, and he says he can see both sides of the debate. He tells me about a healthy patient who had a history of normal stress tests and EKGs-not an obvious candidate for any kind of scan. But when the machine scanned his heart, snapping pictures as it contracted, Graves could see that the patient’s arteries were dangerously calcified. The man could have dropped dead, but instead he got an angioplasty. I am convinced.

A nurse gets me situated on the gantry, which slides my body through the scanner, and inserts an IV with even more contrast agent. I lie perfectly still. I close my eyes. As the table moves back and forth, allowing the camera to take aim at each of my organs, I think, “Once and for all, I’m really going to know if I’m a dead man.”It’s the waiting that kills you. I’m slouched in my doctor’s office to get news of my genes. Kimball Genetics, a small lab in Colorado that I ordered several tests from, had sent the results to my primary-care physician, as is its practice. I wait for at least an hour, contemplating a bleak future. What if I do carry the Tay-Sachs mutation? I mean, I’m Jewish. Jews carry Tay-Sachs. If Megan carries it and we had a child, that child would have a 25 percent chance of developing the disease and dying a horrible death-first going blind, then deaf, and then losing the ability to swallow. What if I carry an ovarian- and breast-cancer mutation that, in men, makes it 12 percent more likely that I’ll get prostate cancer? If I had a daughter, there would be a 50 percent chance she’d get the mutation, putting her at a 54 percent risk for developing ovarian cancer. My god, I think, why did I do this? Do I really want to know this stuff?

I put down my magazine; the sweat on my hands has made the pages damp. The nurse calls me back, and I wait a little longer. My doctor comes in. I ask her for refills of my blood-pressure medicine and Ambien. As she settles onto her stool, she starts flipping through my genetic test results.

“Well, you don’t carry the Tay-Sachs gene,” she says. “That’s good.”

“OK,” I say, holding my breath.

“You’re clear on narcolepsy.” I’m not surprised at this one.
She goes on: No periodontal disease. Negative for HLA-B27, a gene associated with inflammatory disorders. Negative for Apo E, a culprit in coronary disease. Suddenly I’m thinking that maybe I got ripped off. “So are these tests a bunch of crap, or what?”

“No,” she says. “This is good stuff. This is for real.”

She flips another page and says, “Oh, now this is interesting.” Apparently I carry one of the two genetic mutations required to develop hemochromatosis, an iron-overload disorder that destroys the liver. But it’s unlikely that I’ll develop the disease without the other gene. Still, my doctor asks me to come back in a few weeks for blood work to see whether I’m retaining too much iron. (It turns out I’m not.)

Several days later I get an e-mail telling me that a genetic test I ordered from DNA Direct is complete and that I can log on to the company’s Web site anytime to view my results. I am negative for thrombophilia, a blood-clotting disorder. I’m relieved. But then I think, “When is the other shoe going to drop?”

The next day my cystic-fibrosis results are ready. I log on. Negative. Yes! I mean, excellent! Through DNA Direct, I had also taken the genetic test for the mutation suggestive of prostate cancer. DNA Direct does not believe patients should learn on the Internet whether they have cancer-and at this point in my odyssey, I fully agree-so a genetic counselor calls with the results.

“Give me the bullet,” I say.

“Your tests were negative,” she says.

Life is beautiful.

I told all this to Dr. Graves as we sat down to go over the results from my physical. He was pleased. I asked whether Greenbrier would one day offer these tests. He said he sure hoped so. As of now, there wasn’t much interest from patients, but more important for Graves, the available tests still can’t look for the kinds of widespread diseases that primary-care doctors regularly come across. He thinks those tests are at least 5 or 10 years down the road, an opinion shared by those seeking to advance personalized medicine.

And then he got to my tests. My CT scans showed an irregular left kidney. Might be a good idea to follow up with a urologist, Graves advised, and instantly I thought of what Mehmet Oz said about discovering things that looked like problems but were not. There was absolutely nothing clogging my arteries. No tumors had formed in my body. (Of course, these scans looked for existing tumors, not for the cells that could cause them to form.) Then Graves said something I will never forget.

“You’re in good shape,” he told me. “There’s just too much of you.” I am 80 pounds overweight. My cholesterol is borderline high. My glucose levels are flirting with diabetes. I am a prime candidate for a heart attack or stroke. At that moment, sitting there across from Dr. Graves, I had to face the reality that, until the more powerful tests come online, I am back to where I was before starting down this road: fat. I had been conveniently ignoring the fact that I could have predicted what will be wrong with me just by looking in the mirror. Mutated genes aren’t all that can damage a body. A body can be damaged by eating French fries twice a day, by eating chicken wings twice a week, by eating cookies for breakfast, by eating a lot of General Tso’s chicken.

I asked Graves what to do.

“Lose 10 pounds,” he said.

“Just 10?”

“After you lose 10,” he said, “then lose 10 more.” And so on. It was all very simple. For now.

Michael Rosenwald wrote about high-tech stalking in the November 2004 issue.

John B.Carnett
John B. Carnett
John B. Carnett
John B. Carnett
John B. Carnett
John B. Carnett
 
products on a page that says best of what's new 2025

2025 PopSci Best of What’s New