Tattoos are permanent, but the science behind them just shifted

Your body never stops trying to contain the situation.
A tattoo needle against the skin
A tattoo is forever(ish). DepositPhotos

New research suggests that our bodies might have an intriguing way of handling tattoos—and the findings could eventually help us get better at removing them.

If you ask most people how tattoos work, they’re likely to get it a little bit wrong. The most pervasive oversimplification is that tattoo needles inject ink into the skin, deep enough that it stays put. In fact, tattoo needles are more like the nib of a fountain pen than a syringe; the ink isn’t shot down through the needle, but suspended at the end of it when an artist dips the tool into a well. Then, when the tip of the needle pierces a hole in the recipient’s skin (both the epidermis and the dermis beneath it), capillary action—the same force that makes liquid creep up the sides of a straw—draws the ink down into the dermis.

That’s how the ink gets into your skin. But why does it stay there?

Scientists have known for a while that tattoos are made possible not by ink-saturated skin cells, but by immune cells called macrophages. These white blood cells exist to gobble up foreign and cellular debris, and they come rushing whenever you’re wounded. So it’s not surprising that they show up when a needle keeps stabbing you and your skin keeps sucking up ink. The macrophages chow down, and their cellular membranes keep your tattoo ink nice and cozy for years to come.

Now, researchers have answered another question: How the heck do those macrophages stay put for so long? Well, they don’t. According to a study published Tuesday in the Journal of Experimental Medicine, tattoos can persist after macrophages die. When the immune cells wither, they leave behind ink among your skin cells—just as it was when you first got your tattoo. Lo and behold, the new mouse study suggests, new macrophages rush into the fray to pick up the mantles of their fallen brethren.

In other words, your tattoo isn’t just the remnant of a battle between your proclivity for body art and your immune system. It’s a war that never stops.

The researchers, led by Sandrine Henri and Bernard Malissen of the Centre d’Immunologie de Marseille-Luminy, started out studying naturally occurring pigments in the macrophages of black mice. When the cells that create the rodents’ coloring die, they release dark pigment—and macrophages come to swallow it for safe keeping. Watching the process made them curious about how the process worked with tattoo ink, and they were surprised to see so little research had been done on the subject.

Naturally, this led them to tattoo a mouse—one engineered to make its macrophages easy to kill off. After confirming that all pigment was locked away inside macrophages and then destroying them, the researchers noted no visible changes in the tattoo. And eventually, new macrophages arrived to eat the ink. They also grafted a tattooed piece of skin from one mouse to another, and noted six weeks later that the ink had mostly been re-ingested by macrophages native to the new host.

two tattooed mouse tails
Because tattoo pigment can be recaptured by new macrophages, a tattoo appears the same before (left) and after (right) dermal macrophages are killed. Baranska et al., 2018

The researchers are fairly confident that this process is similarly dynamic in humans, though it’s possible our macrophages last longer than those in mice. There may not be a constant turnover, they say, but over the lifetime of a tattoo it’s likely some macrophages die and need replacing.

Of course, tattoos aren’t actually forever. They do fade away in time. Sunlight is anecdotally known to leach the color out of tattoos, but the study authors think macrophage turnover they discovered could also play a role.

“Fading is likely due to the fact that during the successive capture-release-capture cycles that we have described, minute amounts of released pigments are drained away from the skin,” Malissen said in a statement.

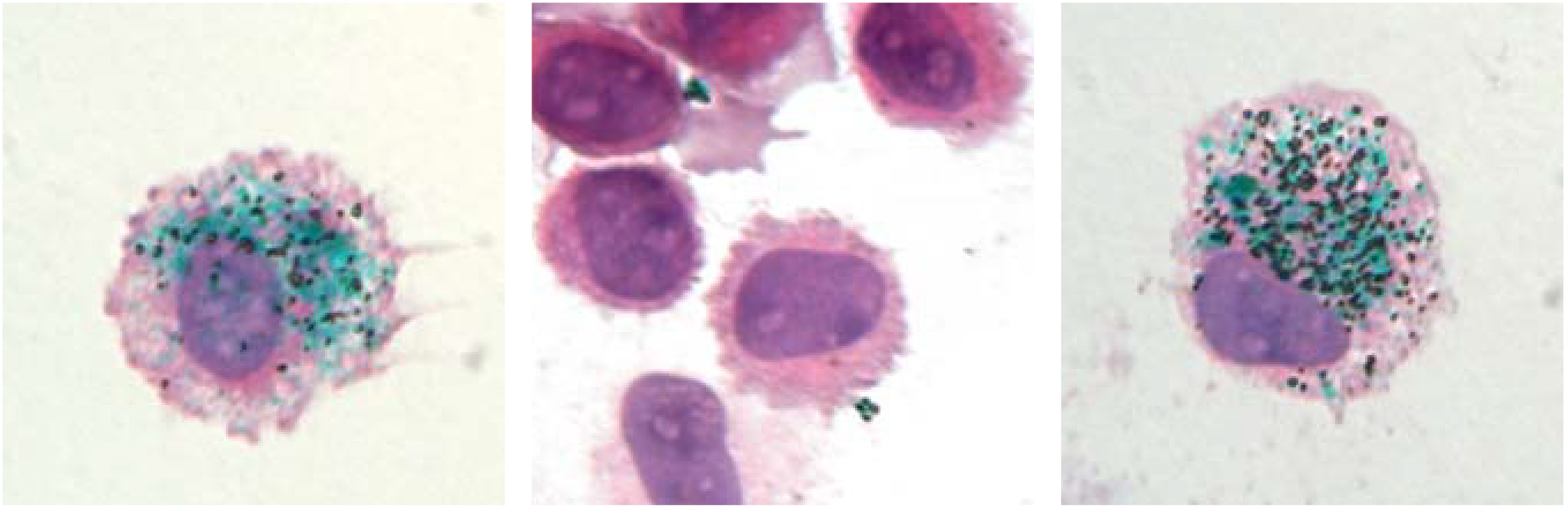
magnified purple cells full of green ink
Green tattoo pigment is taken up by dermal macrophages (left). The pigment is released when these cells are killed (center) but, 90 days later, is taken back up into new macrophages that have replaced the old ones (right). Baranska et al., 2018

The team thinks their results could eventually lead to more effective tattoo removal, though the exact mechanisms are still a little vague. Laser removal works by blasting those macrophages full of ink into smaller chunks, such that the lymphatic system drains them away like it does all the tiny bits of waste in your body. But it takes several sessions to clear everything away, and some tattoos only fade instead of disappearing. The researchers argue that this could be due to new macrophages swooping in to protect you from the larger of the remaining ink chunks, inadvertently protecting those ink chunks from you. If the tattoo removal process involved temporarily killing off or removing macrophages in the area with the use of certain antibodies, they say, the whole thing could theoretically be taken care of more quickly.

With the only results currently involving mice specially designed for ease of macrophage removal, it’s hard to say if or when the knowledge can actually translate to human ink. But even if no practical benefits ever emerge, it’s wild to realize how little we actually know about tattoos. After all, we’ve been putting them on one another for more than 5,000 years. It’s about time we figured out what we’re doing.

 
products on a page that says best of what's new 2025

2025 PopSci Best of What’s New

 
Rachel Feltman Avatar

Rachel Feltman

Editor-at-Large

Rachel Feltman is Editor-at-Large at Popular Science. She hosts and oversees the hit podcast The Weirdest Thing I Learned This Week, and helps to fill the magazine’s digital pages with thrilling features. She lives in Jersey City with her surprisingly tall husband and surprisingly old cat.