COVID lockdown drinking habits led to a rise in deaths from alcoholic liver disease

Alcohol sales rose during the pandemic, with especially large jumps in the consumption of spirits.
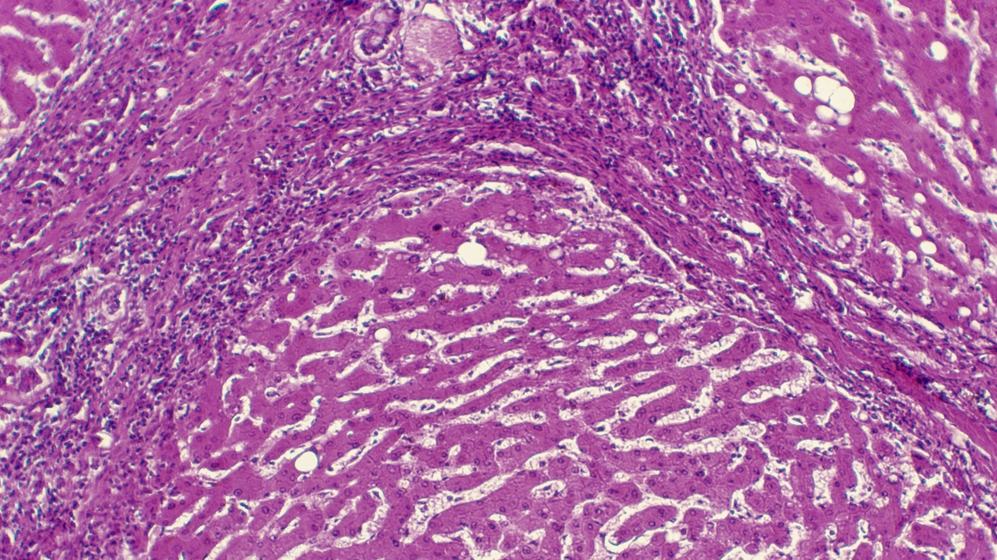
Histology image of the liver in a case of cirrhosis of the liver from alcoholism.
Histology image of the liver in a case of cirrhosis of the liver from alcoholism. Alcoholic liver disease is the most common cause of alcohol-induced deaths nationally. Photo by DeAgostini/Getty Images

This article was published on KFF Health News.

Excessive drinking during the COVID-19 pandemic increased alcoholic liver disease deaths so much that the condition killed more Californians than car accidents or breast cancer, a KFF Health News analysis has found.

Lockdowns made people feel isolated, depressed, and anxious, leading some to increase their alcohol intake. Alcohol sales rose during the pandemic, with especially large jumps in the consumption of spirits.

While this led to a rise in all sorts of alcohol-related deaths, the number of Californians dying from alcoholic liver disease spiked dramatically, with 14,209 deaths between 2020 and 2022, according to provisional data from the Centers for Disease Control and Prevention.

Alcoholic liver disease is the most common cause of alcohol-induced deaths nationally. In California, the death rate from the disease during the last three years was 25 percent higher than in the three years before the pandemic. The rate peaked at 13.2 deaths per 100,000 residents in 2021, nearly double the rate from two decades ago.

The disease is usually caused by years of excessive drinking, though it can sometimes occur after a short period of heavy alcohol use. There are often no symptoms until late in the disease, when weakness, confusion, and jaundice can occur.

Many who increased their drinking during the pandemic were already on the verge of developing severe alcoholic liver disease, said Jovan Julien, a postdoctoral researcher at Harvard Medical School. The extra alcohol sped up the process, killing them earlier than they would have otherwise died, said Julien, who co-wrote a modeling study during the pandemic that predicted many of the trends that occurred.

Even before the pandemic, lifestyle and dietary changes were contributing to more deaths from alcoholic liver disease, despite little change in alcohol sales, said Brian Lee, a hepatologist and liver transplant specialist with Keck School of Medicine of the University of Southern California.

Lee and other researchers found a connection between alcoholic liver disease and metabolic syndrome, a condition often characterized by excess body fat around the waist. Metabolic syndrome — often caused by poor diet and an inactive lifestyle — has risen across the country.

“Having metabolic syndrome, which is associated with obesity, high blood pressure, and diabetes, more than doubles your risk of having advanced liver disease at the same level of drinking,” Lee said.

The Californians alcoholic liver disease most often kills are those between 55 and 74 years old. They make up about a quarter of the state’s adults but more than half the deaths from alcoholic liver disease.

However, death rates among Californians 25 to 44 roughly doubled during the last decade. About 2,650 Californians in that age group died of the disease during the last three years, compared with 1,270 deaths from 2010 through 2012.

“People are drinking at earlier levels,” Lee said. “People are developing obesity at younger ages.”

The highest death rates from alcoholic liver disease occur in rural eastern and Northern California. In Humboldt County, for instance, the death rate from alcoholic liver disease is more than double the statewide rate.

Jeremy Campbell, executive director of Waterfront Recovery Services in Eureka, said Humboldt County and other rural areas often don’t have the resources and facilities to address high rates of alcohol use disorder. His facility provides high-intensity residential services and uses medication to get people through detox.

“The two other inpatient treatment facilities in Eureka are also at capacity,” he said. “This is just a situation that there's just not enough treatment.”

Campbell also pointed to the demographics of Humboldt County, which has a much higher proportion of white and Native American residents than the rest of the state. Alcoholic liver disease death rates in California are highest among Native American and white residents.

Death rates rose more among Native American, Latino, Asian, and Black Californians during the last decade than among non-Latino white Californians, CDC data shows. Part of that is due to disparities in insurance coverage and access to care, said Lee. In addition, Lee said, rates of metabolic syndrome have increased more quickly among nonwhites than among whites. Racial health disparities also manifest in differing survival rates for Black and white patients after liver transplants, he added.

The trend is expected to continue. Julien projects a temporary dip in deaths because many people who would have died of the disease in 2022 or 2023 instead died sooner, after a boost in drinking during the pandemic, but that deaths will rise later as bad habits developed during the pandemic begin to take a long-term toll.

“As people increased their consumption during COVID-19, we have more folks who have now initiated alcohol use disorder,” Julien said.

Phillip Reese is a data reporting specialist and an assistant professor of journalism at California State University-Sacramento.

This article was produced by KFF Health News, which publishes California Healthline, an editorially independent service of the California Health Care Foundation. 

KFF Health News is a national newsroom that produces in-depth journalism about health issues and is one of the core operating programs at KFF—an independent source of health policy research, polling, and journalism. Learn more about KFF.

Subscribe to KFF Health News' free Morning Briefing.

 
products on a page that says best of what's new 2025

2025 PopSci Best of What’s New