What Happens To Your Prosthetics After You Die?

Multiple groups are trying to recycle used artificial limbs and devices like pacemakers.
The hack Pacemaker-hacking feels like a Hollywood plot. Assassinate someone by taking over the medical device that controls his heart? Surely that isn't possible in the real world. Actually, it's totally possible. Last year, a researcher demonstrated a pacemaker hack in Australia, with a virus that could conceivably spread from one person to every electronically assisted heart within 30 feet. The threat level Probably limited to assassination targets. Think: high-profile people, who have pacemakers. It would be an elaborate attack, though, since you need more than just an internet connection to pull it off. Odds are that anyone interested in doing this could get a bomb or a pistol to the target cheaper and faster. This is Hollywood not because it's impossible, but because it's not very efficient. wikimedia commons
Wikimedia Commons

As prosthetics become more common, they are increasingly left over when people die. Where do they go?

In the case of “inert” implants, like silicone breast implants or artificial hips, they are often left in and buried with the body, writes Frank Swain for the BBC. In the case of cremation, silicone burns up, but metal hips and the like are usually separated from the ashes and disposed. Other metals may be collected, like gold fillings–for instance, the Dutch company Orthometals removes 250 tons of metal annually from crematoriums around Europe to sell. “After you die, a little piece of you may one day end up in an aeroplane, a wind turbine, or even another person,” Swain writes.

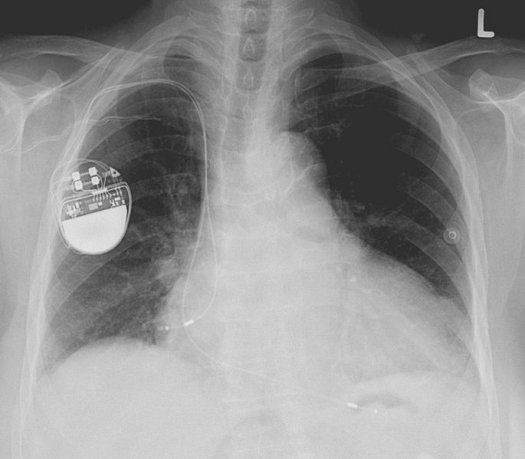
Pacemakers, internal cardiac defibrillators (ICDs) and other prosthetics with electronic components are usually removed, especially in the case of cremation, as they contain batteries that can explode. One 2002 study found that “about half of all crematoria in the UK [United Kingdom] experience pacemaker explosions.” The first reported case of such an explosion, in 1976, created “a finger-sized hole half an inch deep” in the crematorium wall. (Death via crematorium pacemaker explosion would be a bad, and perhaps ironic, way to go.)

There are currently rules against re-using many prosthetics, such as pacemakers, in Europe and the U.S. But these devices cost a lot; some people in the developing world cannot afford new ones. So several charities are trying to reuse these. In the UK, the charity Pace4Life collects and sends working pacemakers to India. An American effort called Project My Heart Your Heart is looking to do the same thing in the U.S., and has found that “75 patients who received second-hand ICDs showed no evidence of infection or malfunction.”

Many healthcare providers will not take back artificial limbs. So several charities are trying to reuse them. One group called Standing With Hope, based in Nashville, recycles old prosthetic limbs for the developing world, in countries like Ghana.

BBC

 
products on a page that says best of what's new 2025

2025 PopSci Best of What’s New